충치 치료
교정치료만 하는 치과에서는 아무래도 ‘충치’에 대한 검진이 부족할 수 밖에 없어, 작은 충치를 제때 치료하지 못하고 방치하여 크게 키우는 경우가 많은데, ‘교정’+’충치치료’가 동시에 가능한 치과는 적절한 검사를 통해 충치를 조기에 발견하고 적절한 치료가 가능합니다.
타치과에서 충치 치료시 철사를 묶고 풀어야해서 왔다갔다하는 번거로움이 없습니다.
임시치아가 빠지거나, 불편감이 있어 타치과를 여러 번 왕복 내원해야하는 경우도 없습니다.
잇몸 치료
교정을 하고싶으나, 잇몸이 나빠 교정을 포기하셨던 경우.
키다리아저씨치과에서는 체계적이고 보존적인 잇몸치료를 통해 치주건강을 회복 후 무리하지 않는 교정치료가 가능
임플란트
교정+외과 협진이 가능하며, 교정치료를 통해 임플란트 불가능 케이스를 가능 케이스로 임플란트를 통해 교정치료를 최소화 합니다.
-
01아래앞니 유치 잔존. 현재상태로는 임플란트 불가.
교정으로 하려면 전체교정 필요한 사례 -
02부분교정으로 임플란트 공간확보
-
03네비게이션 임플란트로 좁은 고난이도 임플란트 가능
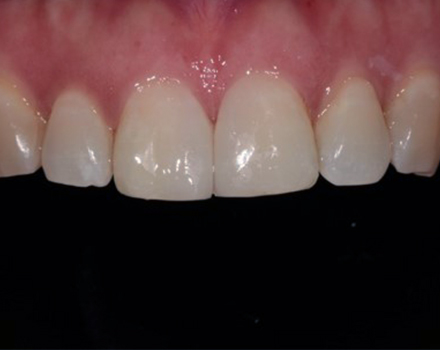
심미보철
교정으로 하기에는 기간과 불편감, 장치가 보이는 것에 대한 부담감으로 보철적으로 심미성을 개선 가능.
‘교정’+’심미보철’을 동일선상에서 상담받고, 장단점을 충분히 고려하여 적절하게 선택이 가능함.
교정만 하는곳에서는 교정을, 교정을 안하는 곳에서는 심미보철을 강조하여 추천을 받을 수밖에 없음
<무삭제/최소삭제 라미네이트 케이스>
치아사이 틈새 case : 교정으로 하기에는 기간과 장치에 대한 시각적 부담감으로, 치아삭제 없이 무삭제로 심미보철하여 심미성을 개선한 사례 입니다.


