디지털 충치검사 시스템 과정

  • 01
    1차 스크러닝

    육안 관찰 및 진단기구를 통해 치료가 필요한 충치인지 1차 검사

  • 01
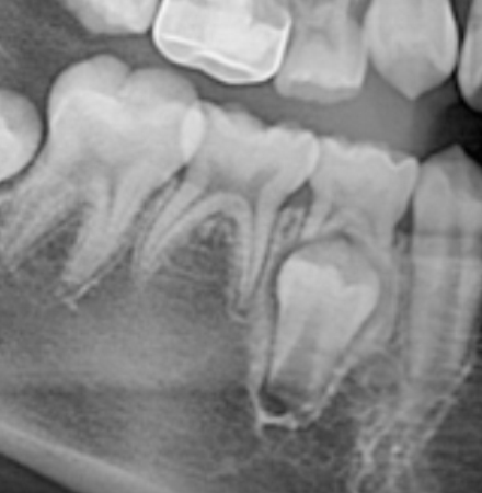
    2차 스크러닝

    x-ray를 통해 육안으로 관찰되지 않는 부분을 파악

  • 01
    3차 스크러닝

    광학 충치 진단기계를 통해 활성화된 충치를 파악

우식진단기계 소개

  • 특수한 파장 영역의 광 조사를 통해 충치균이 활성화 되어 있는 충치를 색깔로 표시해 줌.

  • 충치라고 하더라도 멈춘 ‘정지우식’은 충치균이 활성화 되지 않기 때문에 색깔로 표시되지 않으며 굳이 치료가 필요 없음

  • 환자에게 부당한 과잉진료를 사전에 예방